Hari ini lebih dari baik dari hari kemarin --> Beruntung. Hari ini sama dengan kemarin -->Rugi. Hari ini lebih buruk dari kemarin-->Bangkrut. So, Hari ini haruussss jauh lebih baik dari kemarin supaya banyak untung
Rabu, 06 Februari 2013
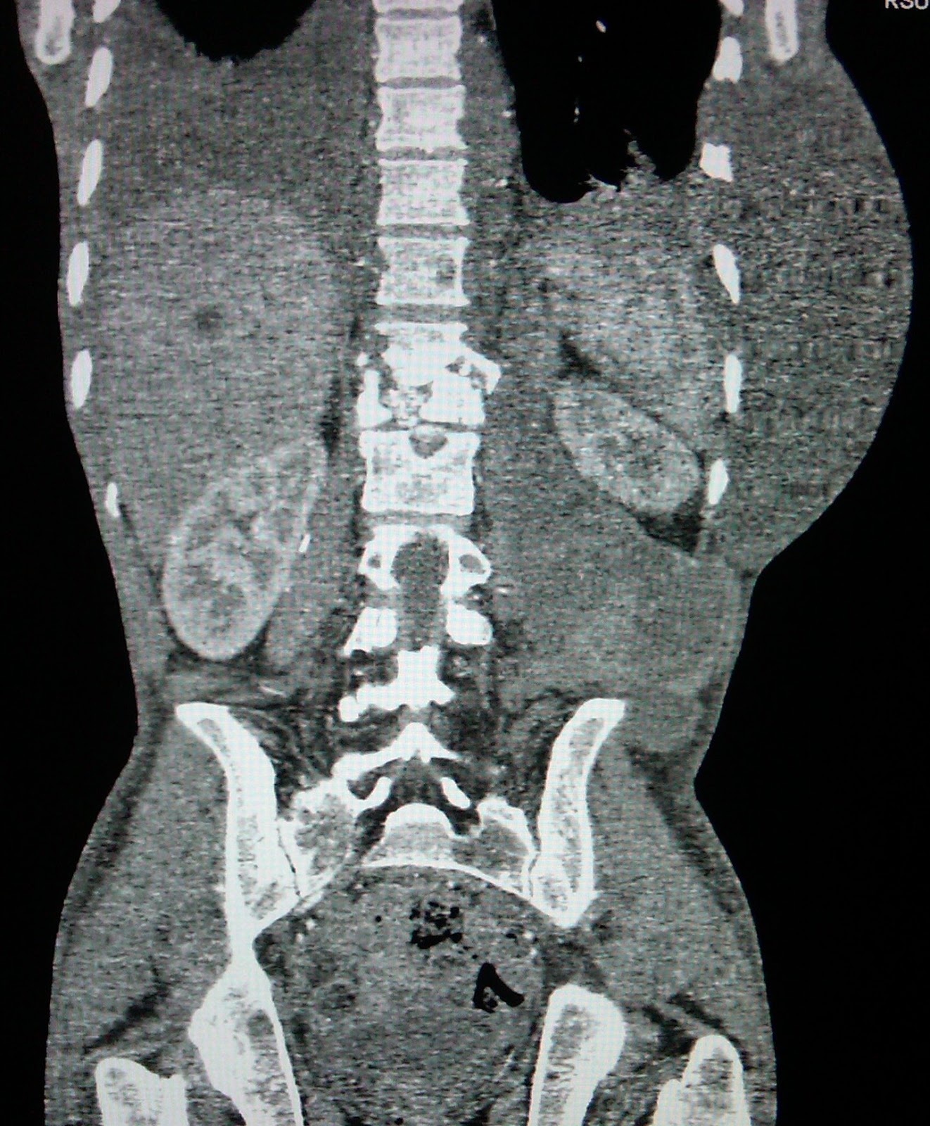
Spondylitis TB with Paravetebral soft tissue abses
Male 26 year old , with clinical information back pain , paraparese inferior and abdominal wall tumor
From MSCT Scan thoraxoabdominal :
There is destruction anterior part of the superior end plate V. Lumbal 1 and inferior end plate V.thoracal 12 ,with acute angulation that retropultion to the central canal and make kipotic angle , with paravetebral , left psoas until subcutan mass with rim contras enchancement
Conclusion :
Spondylitis TB at level V Th 12-V L 1 with paravetebral , psoas and subcutan abses
Langganan:
Posting Komentar (Atom)


 
Tidak ada komentar:
Posting Komentar
Catatan: Hanya anggota dari blog ini yang dapat mengirim komentar.